Prevention involves keeping the skin undamaged and clean. When the skin is cut or scraped, the injury should be washed with soap and water and covered with a sterile bandage. Petrolatum may be applied to open areas to keep the tissue moist and to try to prevent bacterial invasion. Doctors recommend that people do not use antibiotic ointments (prescription or nonprescription) on uninfected minor wounds because of the risk of developing an allergy to the antibiotic. However, an antibiotic ointment is used if an infection develops. Larger areas require antibiotics taken by mouth or given by injection. Abscesses (pus-filled pockets) should be cut open by the doctor and allowed to drain, and any dead tissue must be surgically removed.·
·
Bacterial Skin Infections
·
Overview of Bacterial Skin Infections
·
Cellulitis
·
Erysipelas
·
Erythrasma
·
Folliculitis and
Skin Abscesses
·
Hidradenitis
Suppurativa
·
Impetigo and Ecthyma
·
Lymphadenitis
·
Lymphangitis
·
Necrotizing Skin
Infections
·
Staphylococcal
Scalded Skin SyndromeBacterial
Skin Infections
Leprosy
Leprosy
is caused by a slow-growing type of bacteria calledMycobacteriumleprae (M. leprae). Leprosy is also known as
Hansen's disease, after the scientist who discovered M. leprae in 1873.
Carbuncles
A
carbuncle is a red, swollen, and painful cluster of boils that are connected to
each other under the skin.
Staph
Infection
The
infection often begins with a little cut, which gets infected with bacteria.
These staph infections range from a simple boil to antibiotic-resistant
infections to flesh-eating infections.
Cellulitis
Cellulitis
is a common infection of the skin and the soft tissues underneath. It happens
when bacteria enter a break in the skin and spread.
Impetigo
Impetigo
is a highly contagious bacterial skin infection. It can appear anywhere on the
body but usually attacks exposed areas.
Boils
A boil is
a skin infection that starts in a hair follicle or oil gland. At first, the
skin turns red in the area of the infection, and a tender lump develops. After
four to seven days, the lump starts turning white as pus collects under the
skin.
Pilonidal
Cyst and Abscess
A
pilonidal cyst occurs at the bottom of the tailbone (coccyx) and can
become infected and filled with pus. Once infected, the technical term is
pilonidal abscess.
Fungal Skin Infections
Fungal
Skin Infections
Fungal
infections of the skin are very common and include athlete's foot, jock itch,
ringworm, and yeast infections.
Ringworm
Worms
don't cause ringworm. Rather, this superficial skin infection, also known as
tinea, is caused by fungi called dermatophytes.
Athlete's
Foot
Athlete's
foot is a common fungal infection and you don't have to be an athlete to get
it. This annoying ailment occurs in boys, girls, men, and women of all ages.
Candidiasis
(Yeast Infection)
Candidiasis
is an infection caused by a group of yeast. There are more than 20 species of Candida,
the most common being Candida albicans. These fungi live on all surfaces of our bodies.
Sporotrichosis
This
fungus is related more closely to the mold on stale bread or the yeast used to
brew beer than to bacteria that usually cause infections. The mold is found on
rose thorns, hay, sphagnum moss, twigs, and soil. Therefore, the infection is
more common among gardeners who work with roses, moss, hay, and soil.
Fungal
Nail Infections
A fungal
nail infection occurs when a fungus attacks a fingernail, a toenail, or the
skin under the nail, called the nail bed.
Viral Skin Infections
Molluscum
Contagiosum
Molluscum
contagiosum is a viral skin infection that causes either single or multiple
raised, pearl-like bumps (papules) on the skin.
Shingles
Shingles
(herpes zoster) results from a reactivation of the virus that also causes
chickenpox.
Chickenpox
Chickenpox
(varicella), a viral illness characterized by a very itchy red rash, is one of
the most common infectious diseases of childhood.
· Skin
Problems &
Skin disorders vary greatly in symptoms and severity. They can
be temporary or permament, and may be painless or painful. Some have
situational causes, while others may be genetic. Some skin conditions are
minor, and others can be life-threatening.
Common skin conditions include:
·
moles
·
acne
·
hives
·
chickenpox
·
eczema
·
rosacea
·
seborrheic dermatitis
·
psoriasis
·
vitiligo
·
impetigo
·
warts
·
skin cancer
While most skin disorders are minor, others can indicate a
more serious issue. Contact your doctor if you think you might have one of
these common skin problems.
Temporary skin disorders
Many temporary skin conditions exist, including contact
dermatitis and keratosis pilaris.
Contact dermatitis
Contact dermatitis is
one of the most common occupational illnesses. The condition is often the
result of contact with chemicals or other irritating materials. These
substances can trigger a reaction that causes the skin to become itchy, red,
and inflamed. Most cases of contact dermatitis aren’t severe, but they can be rather
itchy. Topical creams and avoiding the irritant are typical treatments.
Keratosis pilaris
Keratosis pilaris is a minor condition that causes small,
rough bumps on the skin. These bumps usually form on the upper arms, thighs, or
cheeks. They’re typically red or white and don’t hurt or itch. Treatment isn’t
necessary, but medicated creams can improve skin appearance.
Permanent skin disorders
Some chronic skin conditions are present from birth, while
others appear suddenly later in life.
The cause of these disorders isn’t always known. Many
permanent skin disorders have effective treatments that enable extended periods
of remission. However, they’re incurable and symptoms can reappear at any time.
Examples of chronic skin conditions include:
·
rosacea, which is characterized by
small, red, pus-filled bumps on the face
·
psoriasis, which causes scaly, itchy,
and dry patches
·
vitiligo, which results in large,
irregular patches of skin
Skin disorders in children
Skin disorders are common in children. Children can
experience many of the same skin conditions as adults. Infants and toddlers are
also at risk for diaper-related skin problems. Since children have more
frequent exposure to other children and germs, they may also develop skin
disorders that rarely occur in adults. Many childhood skin problems disappear
with age, but children can also inherit permanent skin disorders. In most
cases, doctors can treat childhood skin disorders with topical creams,
medicated lotions, or condition-specific drugs.
Common childhood skin disorders include:
·
eczema
·
diaper rash
·
seborrheic dermatitis
·
chickenpox
·
measles
·
warts
·
acne
·
fifth disease
·
hives
·
ringworm
·
rashes from bacterial or fungal
infections
·
rashes from allergic reactions
Symptoms of skin disorders
Skin conditions have a wide range of symptoms. Symptoms on
your skin that appear due to common problems aren’t always the result of a skin
disorder. Such symptoms can include blisters from new shoes or chafing from
tight pants. However, skin problems that have no obvious cause may indicate the
presence of an actual skin condition that requires treatment.
Skin irregularities that are typically symptoms of a skin
disorder include:
·
raised bumps that are red or white
·
a rash, which might be painful or
itchy
·
scaly or rough skin
·
peeling skin
·
ulcers
·
open sores or lesions
·
dry, cracked skin
·
discolored patches of skin
·
fleshy bumps, warts, or other skin
growths
·
changes in mole color or size
·
a loss of skin pigment
·
excessive flushing
Causes of skin disorders
Common known causes of skin disorders include:
·
bacteria trapped in skin pores and
hair follicles
·
fungus, parasites, or microorganisms
living on the skin
·
viruses
·
a weakened immune system
·
contact with allergens, irritants, or
another person’s infected skin
·
genetic factors
·
illnesses affecting the thyroid,
immune system, kidneys, and other body systems
Numerous health conditions and lifestyle factors can also
lead to the development of certain skin disorders. Some skin conditions have no
known cause.
Inflammatory bowel disease
Inflammatory bowel disease is a term for a group
of intestinal disorders that cause prolonged inflammation of the digestive
tract. These bowel-related disorders often cause skin problems. The drugs used
to treat these diseases can cause certain skin conditions, such as:
·
skin tags
·
anal fissures
·
stomatitis
·
vasculitis
·
vitiligo
·
allergic eczema
Diabetes
Many people with diabetes experience
a skin problem as a result of their condition at some point. Some of these skin
disorders only affect people with diabetes. Others occur more frequently in
people with diabetes because the disease increases the risk for infection and
blood circulation problems. Diabetes-related skin conditions include:
·
bacterial infections, such as boils, styes, and folliculitis
·
fungal infections, such as athlete’s foot, ringworm, and yeast infections
·
acanthosis nigricans
·
diabetic blisters
·
diabetic dermopathy
·
digital sclerosis
Lupus
Lupus is a chronic inflammatory disease that can
damage the skin, joints, or organs inside the body. Common skin problems that
occur from lupus include:
·
round lesions on the face and head
·
thick, red, scaly lesions
·
red, ring-shaped lesions on body
parts exposed to sunlight
·
flat rash on the face and body that
looks like a sunburn
·
red, purple, or black spots on
fingers and toes
·
sores inside the mouth and nose
·
tiny red spots on the legs
Pregnancy
Pregnancy causes significant changes in hormone levels
that may lead to skin problems. Pre-existing skin problems may change or get
worse during pregnancy. Most skin conditions that arise during pregnancy go
away after the baby is born. Others require medical attention during pregnancy.
Common skin conditions caused by pregnancy include:
·
stretch marks
·
melasma
·
pemphigoid
·
pruritic urticarial papules and
plaques
·
dermatitis
Stress
Stress can cause hormonal imbalances, which may trigger or
aggravate skin disorders. Stress-related skin problems include:
·
eczema
·
psoriasis
·
acne
·
rosacea
·
ichthyosis
·
vitiligo
·
hives
·
seborrheic dermatitis
·
alopecia areata
·
hemangiomas
Sun
The sun can cause many different skin disorders. Some are common
and harmless, while others are rare or life-threatening. Knowing if the sun
causes or worsens your skin disorder is important for treating it properly.
Sunlight exposure may cause or aggravate the following
conditions:
·
moles
·
wrinkles
·
sunburn
·
actinic keratosis
·
skin cancer
·
photosensitivity
Bacterial Skin Infections: Impetigo and MRSA
What kinds of bacteria can cause contagious skin infections?
Certain bacteria commonly live on the skin of many people without causing harm. However, these bacteria can cause skin infections if they enter the body through cuts, open wounds, or other breaks in the skin. Symptoms may include redness, swelling, pain, or pus.
How serious are bacterial skin infections?
While many bacterial skin infections are mild and easily treatable, some can become very serious and even life threatening. In addition, some bacterial infections can be spread to others. This is why prevention is so important.
What are the two most common bacteria that cause skin infections?
- Group A Streptococcus (GAS), often called "strep."
- Staphylococcus aureus, commonly called "staph."
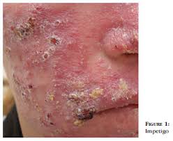
Impetigo
What is impetigo?
Impetigo is a common bacterial skin infection caused by Group A Streptococcus (GAS) or "strep."
What is Group A Streptococcus (GAS)?
Group A Streptococcus (GAS) or "strep" is a common bacterium (bacterium is the singular form of the plural, bacteria) that is found on the skin or in the throat ("strep throat"). People can carry GAS and have no symptoms of illness or they may develop relatively mild skin infections, including impetigo.
How does impetigo spread?
Group A Streptococcus (GAS) or "strep" can be transmitted through direct person-to-person contact with someone who has the infection. GAS can also be picked up indirectly through contact with an item (such as a wrestling mat, gear, towel, razor, or cell phone) that is contaminated with the bacterium.
What are the symptoms of impetigo?
- Symptoms usually began 1-3 days after infection.
- Sores (lesions) begin as small red spots, usually on the face (especially around the nose and mouth), but can appear anywhere on the body.
- The sores are often itchy, but usually not painful.
- The sores develop into blisters that break open and ooze fluid -- this fluid contains infectious bacteria that can infect others if they have contact with it.
- After a few days, the ruptured blisters form a flat, thick, honey-colored (yellowish-brown) crust that eventually disappears, leaving red marks that heal without scarring.
- There may be swollen glands (enlarged lymph nodes), but usually no fever.
- Click here to view a photograph of impetigo on the face from DermAtlas.
What should athletes do if they think they have impetigo?
While mild cases of impetigo may be treated without seeing a health care provider, athletes are recommended to have a medical professional determine what type of infection they have, how to treat it, and if it is contagious. If the infection is contagious, athletes should not practice or compete until their medical provider clears them to return.
Back to Top
Back to Table of Contents
Methicillin-Resistant Staphylococcus aureus (MRSA)
What is Staphylococcus aureus?
Staphylococcus aureus ("staph") is a bacterium that is carried on the skin or in the nose of approximately 25% to 30% of healthy people without causing infection -- this is called colonization. Staph bacteria are one of the most common causes of skin infections in the U.S. Most of these skin infections are minor (such as pimples and boils), are not spread to others (not infectious), and usually can be treated without antibiotics. However, some staph bacteria are resistant to certain antibiotics -- one type is called MRSA.
What is MRSA?
MRSA stands for methicillin-resistant Staphylococcus aureus. MRSA is a staph bacterium that certain antibiotics in the penicillin family should be able to treat, but cannot. When the infection is resistant to the medication, it is called resistance. However, other non-penicillin antibiotics can effectively treat most MRSA infections.
 |
| MRSA Infection on Arm |
What causes antibiotic resistance?
Most resistance to antibiotics develops from taking them improperly. Examples are:
- Incomplete use: Not finishing the entire antibiotic prescription (often because people start to feel better and stop taking the medication).
- Inappropriate use: Taking antibiotics for a viral infection (antibiotics do NOT treat viral infections such as colds or the flu).
- Unnecessary use: Taking antibiotics "just in case" (for example, taking them prior to a vacation or special event to try to prevent illness).
It is important to take prescription medication only when prescribed for you by a health professional and to take all the medicine even if you feel better before you have completed the prescription.
How serious is MRSA?
Although health care providers can treat most MRSA skin infections in their offices, MRSA can be very serious and even cause death. MRSA can cause pneumonia or severe infections of the blood, bones, surgical wounds, heart valves, and lungs. MRSA can be fatal if not identified and treated with effective antibiotics.
How does someone get MRSA infection?
Most often, MRSA is transmitted by direct skin-to-skin contact with someone who has the infection.
MRSA can be spread by indirect contact too (for example contact with a mat that has infected drainage on it or by sharing a towel or cell phone with someone who has MRSA). Because of this, never share personal hygiene and health items.
Where on the skin does MRSA appear and what are the symptoms?
MRSA infections commonly occur where there is a break in the skin (for example, a cut or wound), especially in areas covered by hair (for example, the beard area, back of the neck, armpit, groin, legs, or buttocks)
MRSA may look like a bump on the skin that may be red, swollen, warm to the touch, painful, filled with pus, or draining. The pus or drainage contains the infectious bacteria that can be spread to others. People with MRSA may have a fever.
 |
MRSA Infection on Thigh
|